Cabinet dentaire des Drs LAFFOND
Chirurgien-Dentiste à AGEN
ACCUEIL
LE CABINET
IMPLANTOLOGIE
PARODONTOLOGIE
L'ORTHODONTIE
FICHES CONSEILS
1ER RDV
OTHER LANGUAGES
English
Italiano
CONTACT
PRENDRE RDV
46, boulevard Eugène Pelletan, 47000 AGEN
+33 5 53 68 34 49
Cabinet dentaire des Drs LAFFOND
Chirurgien-Dentiste à AGEN
ACCUEIL
LE CABINET
IMPLANTOLOGIE
PARODONTOLOGIE
L'ORTHODONTIE
FICHES CONSEILS
1ER RDV
OTHER LANGUAGES
English
Italiano
CONTACT
PRENDRE RDV
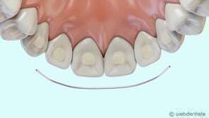
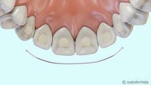
Fil de contention
Vidéos 3D
Partager
Twitter
Partager
Partager
Envoyer
Copier
Cabinet dentaire des Drs LAFFOND
46, boulevard Eugène Pelletan
47000
AGEN
+33 5 53 68 34 49
Politique de confidentialité et charte cookie
Mentions légales
Conditions Générales Utilisation
Charte déontologique
Ordre national
Annuaires chirurgiens dentistes
Hygiène & Asepsie
Honoraire & remboursement
Diaporama
Urgences
Création par
Connexion